신경 영상 과정 : 신경 영상 기술 과정 (University Degree + 5 ECTS 크레딧)






Solicitar información


Temario
Descargar temario en PDFPlan de estudios
요약
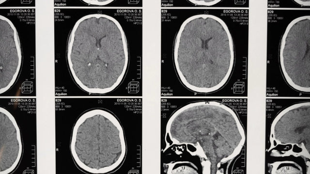
신경 영상 기술은 신경계에 대한 올바른 연구를 멸망시키는 일련의 과정을 가정합니다. 이들은 다양한 병리에서 뇌 병변을 식별하는 데 특히 유용하며, 환자가 매일 발생하는 기능적 결함과 관련된보다 정확하고 상세한 중재 계획을 허용합니다. 이들의 지식과 관리는 건강 분야에서 자신의 작업을 수행하는 모든 전문가에게 필요하지만 신경 과학 연구의 맥락에도 있습니다. 신경 영상 기술 과정을 통해 이러한 기술과 그 적용을 알 수 있습니다. 온라인 방법론과 개인화 된 교육 모니터링 덕분에 교육 및 품질 교육을 받게됩니다.
목표
전문가 출구
당신을 준비하기 위해
신경 영상 기술 과정은 구조와 기능 수준에서 신경계 연구에 사용되는 주요 기술과 관련된 지식을 습득 할 수 있도록 준비합니다. 또한, 그것은 뇌 손상으로 인한인지에 영향을 미치는 신경 학적 환자의 임상 연구와 직접 관련된 인간 행동의 신경 생리 학적 염기를 심화시킨다.
누가 해결 되었습니까?
신경 영상 기술 과정은 임상 신경 과학의 세계와 관련하여 업무 활동을 개발하려는 모든 전문가에게 전념하며, 환자에게 영향을받는인지 과정과 관련된 구조의 능력을 허용하는 올바른 위치 및 신경 변경의 해석을 추구합니다.
공식 캐릭터
이 교육은 공식 규제 교육 범위 (유아 교육, 초등 교육, 중등 교육, 공식 전문 교육 FP, Baccalaureate, University Degree, 공식 대학 석사 및 박사 학위에 포함되지 않습니다. 따라서 보완 및/또는 전문화 훈련은 전문적인 성격의 특정 기술, 기술 또는 적성을 습득하는 것을 목표로하며, 공공 노동 시장의 공공 노동 주식의 특정 노동 주식의 특정 요건을 검토하는 데 항상 보완 교육 섹션 및/또는 지속적인 훈련 내에서 워크 백 및/또는 야당 경쟁에서 거의 장점이 될 수 있습니다.

우리의 방법론은 맞춤형 학습을 위해 기술, 교육학 및 공감을 결합합니다.
당신은 리듬을 표시하고, 길을 결정하고 인공 지능이 당신과 함께 의미와 목적으로 더 잘 배우도록 동반합니다.

개인화 된 학습을 실현했습니다
당신의 스타일, 관심 및 수준은 경로를 정의합니다. 당신은 출발점입니다.

구성주의
탐색, 경험 및 적용. 학습은 암기하지 않고 이해를 의미합니다.

당신을 지시하지 않고 당신을 동반하는 사람
인공 지능 보조자 인 Phia는 자율성을 제한하지 않고 당신을 안내합니다.

압력없이 평가
연속적이고 적응적인 피드백. 학습은 과정이 아니기 때문에 그림이 아닙니다.
Certificación


5 개의 ECTS 대학 학점을 가진 대학 신경 영상 기술 학위. 업무 증권 거래소 및 공무원 대회에서 지속적인 이탈 할 수있는 교육.

Educahub 장학금
가장 접근하기 쉬운 훈련 : 0%의 관심을 끝내고 개인화 된 장학금을 받으십시오.
Eduahub에서 우리는 모든 사람이 교육을 이용할 수 있어야한다고 생각합니다. 따라서 우리는 실용적이고 현재 및 품질 교육에 대한 접근성을 촉진하여 경제적 장벽을 제거하는 장학금 계획을 제공합니다.
-25%
동문 장학금 : 에두아우브의 전 학생들을위한.
-20%
실업 장학금 : 실업자 인 경우.
-20%
수많은 가족 장학금 : 3 명 이상의 자녀가있는 가족을 위해.
-20%
장애 장학금 : 장애가있는 사람들의 경우 ≥33%.
-15%
Emprende Scholarship : 귀하의 활동을 인정하는 자립자.
-15%
장학금 추천 : 동문이 추천하는 경우.
-15%
그룹 장학금 : 3 명 이상의 공동 비문.

당신의 속도로 배우십시오
코스, 석사 및 공식 학위. 온라인 100%, 유연하고 속도에 따라.

어디서나 접근합니다
모바일, 태블릿 또는 PC에서 24/7을 사용할 수 있습니다. 당신은 언제, 어떻게 훈련 할 것인지 결정합니다.

Phia, 당신의 멘토 IA
그것은 당신에게 도전하고, 당신에게 동기를 부여하고, 당신의 길을 사용자 정의합니다. 당신과 함께 진화하는 가이드로 배우십시오.

LX One Plus : 제한없이
소프트 기술, 언어 등을 잠금 해제하십시오. 필수 및 지속적인 형성으로 향하는 발전.